Skip to the main content
Menu
  • Broomfield
  • Denver Highland
  • Golden
  • South Denver
  • Superior

Home

  • Broomfield
  • Denver Highland
  • Golden
  • South Denver
  • Superior

Great Dentistry
Great Dental Experiences

Book Online

Main navigation

  • Cosmetic & Restorative Care
  • General & Family Care
  • Complete Oral Health
  • Patient Resources
  • Locations
  • About Us
Title

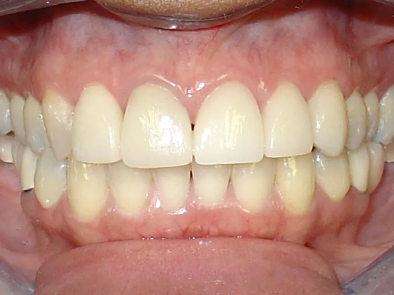
Using Implants and Bridges to Restore a Smile

  • Procedure by Scott Dudley, DMD, MSEd, FAGD
case 003 smile before photo case 003 smile after photo
  • Image file
    case 003 smile before photo

    Before

    Image file
    case 003 smile after photo

    After

    Image file
    case 003 retracted before photo

    Before

    Image file
    case 003 retracted after photo

    After

  • « First
  • ‹ Previous
  • Next ›
  • Last »

More Cases

Image file
case 034 smile after photo
Case 034
Procedure by
Image file
Dr. Scott Dudley
Dr. Scott Dudley
Image file
case 023 full face after photo
Case 023
Procedure by
Image file
Dr. Scott Dudley
Dr. Scott Dudley
Image file
case 031 smile after photo
Case 031
Procedure by
Image file
Dr. Scott Dudley
Dr. Scott Dudley
Image file
case 082 smile after photo
Case 082
Procedure by
Image file
Dr. Scott Dudley
Dr. Scott Dudley
  • Hear what Katie D. has to say about Branin Center for Dentistry

    I started at a different dentist office, and after having an awful time there (I could feel the entire root canal I got and the office staff was horrendous), I decided to find a new dentist. Upon my arrival Dr. Dudley listened to my story, looked at my x-rays from the old place and helped me put together a plan to get the work the other place had started completed.

    Katie D.

Schedule an Appointment

Secondary navigation

  • Smile Gallery
  • Planning For Success
  • Financing & Insurance
  • Branin Dental Membership
  • Comfort & Technology
  • Sedation Dentistry

Home

Great Dentistry 
Great Dental Experiences

Branin Center for Dentistry practices excellent evidence-based cosmetic and general dentistry. We are different because we treat every patient’s oral and overall health as if it were our own. Through comprehensive diagnosis and planning, we ensure every procedure and treatment provides better patient care, better health, and a better result.

Our cutting-edge approach relies on the latest technologies, techniques, and materials to provide the absolute best possible outcomes for each individual. The lasting esthetic results we can provide at Branin Center for Dentistry are not accidents. They represent proper planning, excellent skill, and quality craftsmanship.

© 2025 Branin Center for Dentistry I Privacy Policy | Notice Of Privacy Practices | Terms of Service

by Branin

  • Cosmetic & Restorative Care
    • Smile Design
    • Orthodontics & Invisalign®
    • Dental Implants
    • Crowns & Bridges
      • Aftercare for Dental Crowns & Bridges
    • Dental Veneers
    • Smile Whitening
  • General & Family Care
    • Preventive Dentistry
    • Periodontal Therapy
    • Root Canal Therapy
    • Dental Extractions
    • Dental Fillings
  • Complete Oral Health
    • TMJD Therapy
    • Grinding & Clenching
    • Sleep Apnea & Snoring
    • Performance Mouthwear
  • Patient Resources
    • Smile Gallery
      • Judy's Beautiful Smile
      • Kathie's Exceptional Smile
      • Fixing Missing and Misaligned Teeth
      • Gorgeous Smile Correction
      • Adding Veneers to the Front Two Teeth
      • Using Crowns to Repair Mismatched Dental Restorations
      • Restoration of a Smile by Using Veneers
      • A Perfectly Matched Chip Repair
      • Teeth That Look Brand New Using Crowns
      • You Can Reach Your Long-Term Smile Goals
      • Irresistible Smile Refinement
      • Repairing Two Teeth and Improving the Whole Smile
      • Susan's Exceptional Smile
      • Gary's Exceptional Smile
      • Giving a Patients Smile a More Youthful Look
      • Peggy's Stunning Smile
      • Scott's Smile
      • Karen's Smile
      • Jackie's Smile
      • Jon's Exceptional Smile
      • Veneers and Implants Can Improve the Look and Health of a Smile
      • Using Implants to Restore the Vibrancy and Shape of a Smile
      • Using Implants to Repair a Smile
      • Using Implants and Bridges to Restore a Smile
      • Using Crowns, Implants, and Veneers to Repair a Smile
      • Repairing a Damaged Tooth with Excellent Results
    • Planning For Success
      • Referral Policy
      • Maintenance & Warranty
    • Financing & Insurance
      • Understanding Your Dental Benefits
    • Branin Dental Membership
    • Comfort & Technology
      • Sterilization
    • Sedation Dentistry
  • Locations
    • Broomfield
    • Denver Highland
    • Golden
    • South Denver
    • Superior
  • About Us
    • Reviews
      • Broomfield
      • Denver Highland
      • Golden
      • South Denver
      • Superior
    • Community
    • Careers