Skip to the main content
Menu
  • Broomfield
  • Denver Highland
  • Golden
  • South Denver
  • Superior

Home

  • Broomfield
  • Denver Highland
  • Golden
  • South Denver
  • Superior

Great Dentistry
Great Dental Experiences

Book Online

Book online in Broomfield Book Online in Denver Highland Book Online in Golden Book Online in South Denver Book Online in Superior

Main navigation

  • Cosmetic & Restorative Care
  • General & Family Care
  • Complete Oral Health
  • Patient Resources
  • Locations
  • About Us
Title

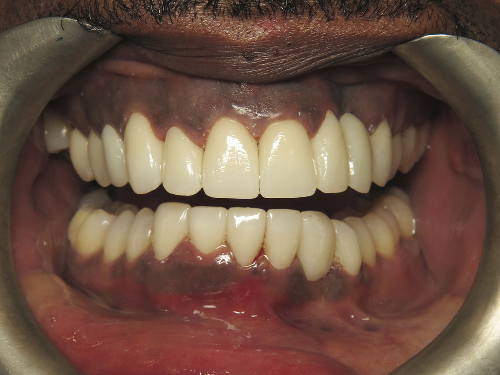
Veneers for Colton

  • Procedure by Stephen Rogers, DDS
A close-up before photo of Colton's smile. A close-up after photo of Colton's smile.
  • Image file
    A close-up before photo of Colton's smile with lips retracted.

    Before

    Image file
    A close-up after photo of Colton's smile with lips retracted.

    After

  • « First
  • ‹ Previous
  • Next ›
  • Last »

More Cases

Image file
Picture of case 603 smile after
Veneers for Colton
Procedure by
Image file
Dr. Stephen Rogers
Dr. Stephen Rogers
Image file
Case 605 after smile
Extraction and Replacement
Procedure by
Image file
Dr. Stephen Rogers
Dr. Stephen Rogers
Image file
case 600 retracted after photo
Remarkable Results
Procedure by
Image file
Dr. Stephen Rogers
Dr. Stephen Rogers
Image file
picture of case 602 smiling after
Cosmetic Restoration for Cheryl
Procedure by
Image file
Dr. Stephen Rogers
Dr. Stephen Rogers

Come Experience Great Dentistry

We are excited to talk to you about your new smile.

Schedule an Appointment

Home

Great Dentistry 
Great Dental Experiences

Branin Center for Dentistry practices excellent evidence-based cosmetic and general dentistry. We are different because we treat every patient’s oral and overall health as if it were our own. Through comprehensive diagnosis and planning, we ensure every procedure and treatment provides better patient care, better health, and a better result.

Our cutting-edge approach relies on the latest technologies, techniques, and materials to provide the absolute best possible outcomes for each individual. The lasting esthetic results we can provide at Branin Center for Dentistry are not accidents. They represent proper planning, excellent skill, and quality craftsmanship.

© 2026 Branin Center for Dentistry I Privacy Policy | Notice Of Privacy Practices | Terms of Service

by Branin

  • Cosmetic & Restorative Care
    • Smile Design
    • Orthodontics & Invisalign®
    • Dental Implants
    • Crowns & Bridges
      • Aftercare for Dental Crowns & Bridges
    • Dental Veneers
    • Smile Whitening
  • General & Family Care
    • Preventive Dentistry
    • Periodontal Therapy
    • Root Canal Therapy
    • Dental Extractions
    • Dental Fillings
  • Complete Oral Health
    • TMJD Therapy
    • Grinding & Clenching
    • Sleep Apnea & Snoring
    • Performance Mouthwear
  • Patient Resources
    • Smile Gallery
      • Judy's Beautiful Smile
      • Kathie's Exceptional Smile
      • Fixing Missing and Misaligned Teeth
      • Gorgeous Smile Correction
      • Adding Veneers to the Front Two Teeth
      • Using Crowns to Repair Mismatched Dental Restorations
      • Restoration of a Smile by Using Veneers
      • A Perfectly Matched Chip Repair
      • Teeth That Look Brand New Using Crowns
      • You Can Reach Your Long-Term Smile Goals
      • Irresistible Smile Refinement
      • Repairing Two Teeth and Improving the Whole Smile
      • Susan's Exceptional Smile
      • Gary's Exceptional Smile
      • Giving a Patients Smile a More Youthful Look
      • Peggy's Stunning Smile
      • Scott's Smile
      • Karen's Smile
      • Jackie's Smile
      • Jon's Exceptional Smile
      • Veneers and Implants Can Improve the Look and Health of a Smile
      • Using Implants to Restore the Vibrancy and Shape of a Smile
      • Using Implants to Repair a Smile
      • Using Implants and Bridges to Restore a Smile
      • Using Crowns, Implants, and Veneers to Repair a Smile
      • Repairing a Damaged Tooth with Excellent Results
    • Planning For Success
      • Referral Policy
      • Maintenance & Warranty
    • Financing & Insurance
      • Understanding Your Dental Benefits
    • Branin Dental Membership
    • Comfort & Technology
      • Sterilization
    • Sedation Dentistry
  • Locations
    • Broomfield
    • Denver Highland
    • Golden
    • South Denver
    • Superior
  • About Us
    • Reviews
      • Broomfield
      • Denver Highland
      • Golden
      • South Denver
      • Superior
    • Community
    • Careers